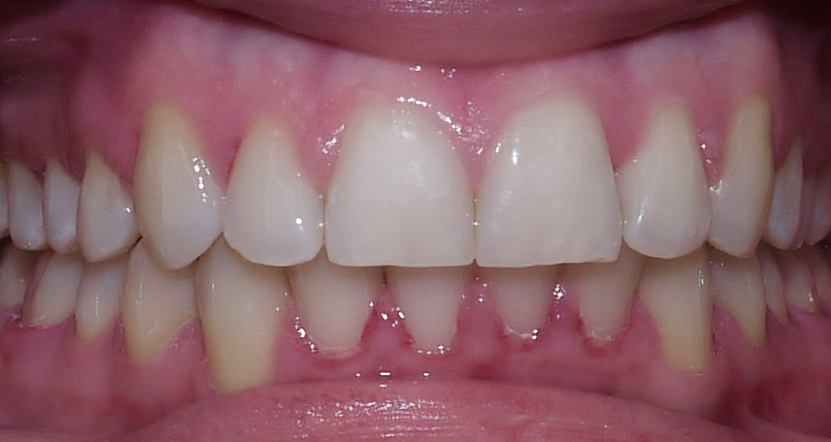
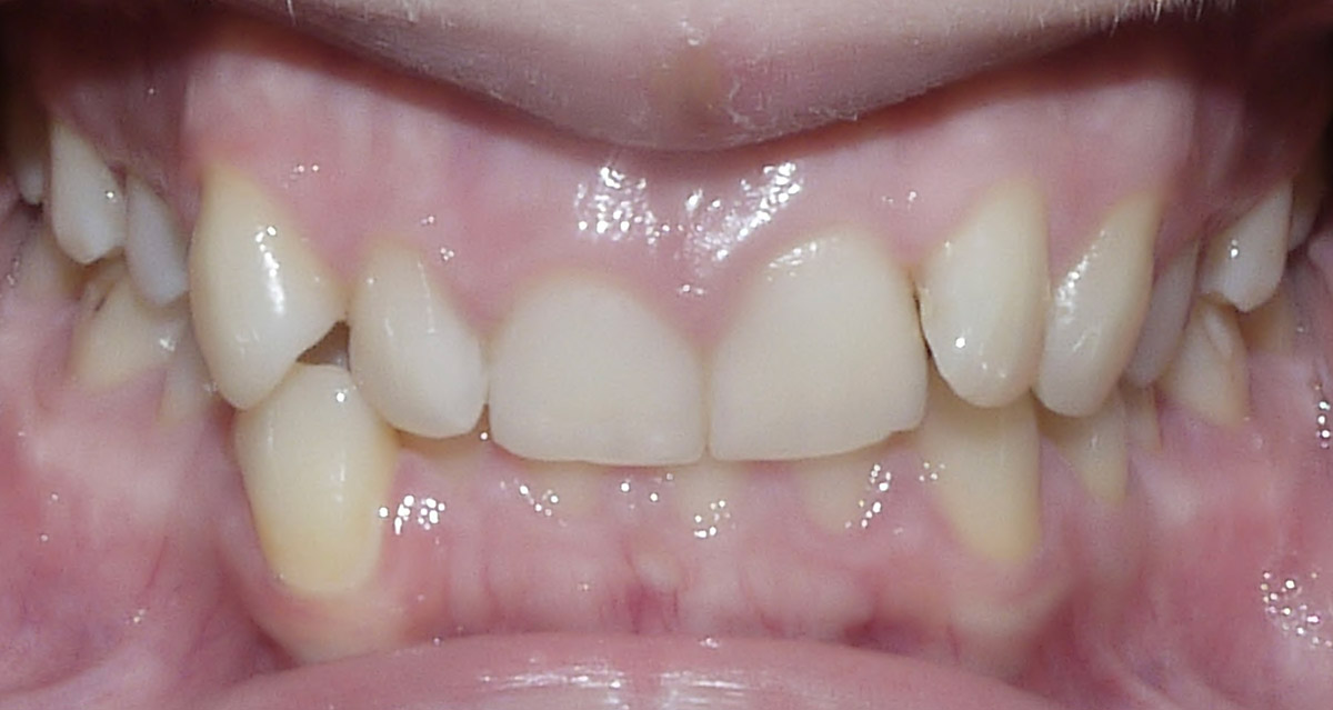
Ein Lächeln verbindet und schafft Sympathien. Schöne, gerade Zähne sind dabei ein besonderer Blickfang. Unsere Zähne beeinflussen die Gesundheit des gesamten Körpers, die Harmonie des Gesichtes, sie prägen unsere Sprache und die persönliche Ausstrahlung.

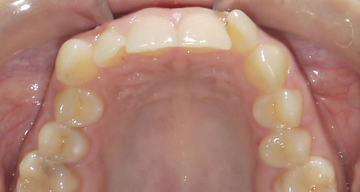
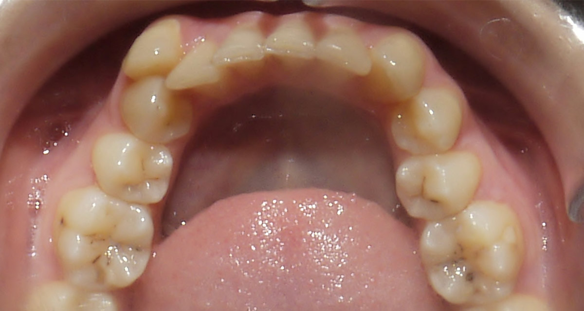
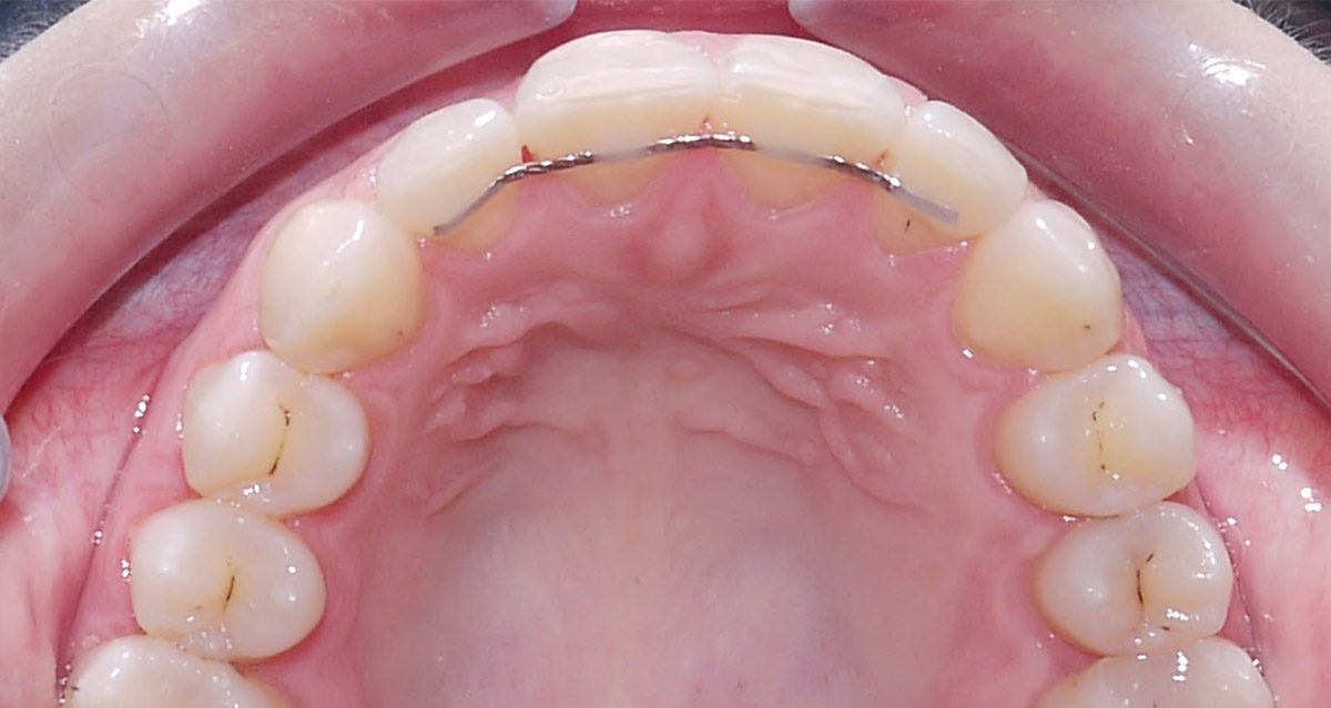
Kieferorthopädie ist die Lehre von Erkennung, Verhütung und Behandlung von Gebissanomalien, also Zahn– und Kieferfehlstellungen.

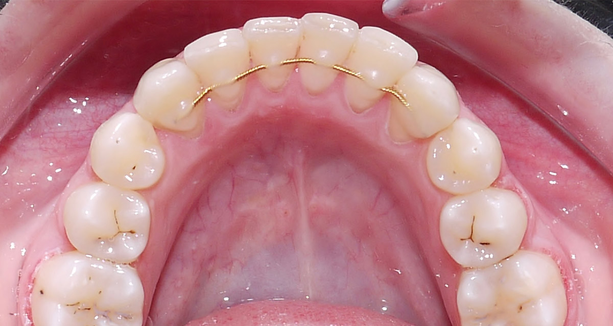
Dank innovativer Behandlungsmethoden und stetiger Weiterbildung sind Fehlstellungen in jedem Alter erfolgreich zu behandeln und die Kieferorthopädie ermöglicht so ein hohes Maß an Lebensqualität.

Jeder Patient braucht eine ganz persönliche, auf ihn und seine Bedürfnisse abgestimmte Therapie, um das Erreichen und Erhalten eines gesunden Kauorgans zu ermöglichen.

Dafür bieten wir ein modernes Behandlungsspektrum auf höchstem Qualitätsniveau.

Gerne sprechen wir mit Ihnen über die verschiedenen Möglichkeiten, Ihnen zu einer gesunden Zahnstellung und einem schönen Lächeln zu verhelfen – vereinbaren Sie einen unverbindlichen Beratungstermin, wir freuen uns auf Sie!

<< zurück

 

 

 

"Gesunde Zähne und ein strahlendes Lächeln liegen uns am Herzen"

Praxis
Dr. Mömken & Redelberger

Tel: 09721 18283
Email: info@moemken-redelberger.de

MO 08.30 – 12.00 und 14.00 – 18.00 Uhr
DI 08.15 – 17.00 Uhr
MI 08.30 – 14.00 Uhr
DO 08.15 – 18.00 Uhr
FR 08.15 – 12.00 Uhr + Kinderzahnheilkunde bei Frau Redelberger bis 13.00 Uhr
SA nach Vereinbarung

Wir bitten um telefonische Terminvereinbarung.

logo moemken redelberger hoch

Zahnärzte
in Schweinfurt auf jameda

Sorry, this website uses features that your browser doesn’t support. Upgrade to a newer version of Firefox, Chrome, Safari, or Edge and you’ll be all set.